Handgelenk
Anbei ein Bild.
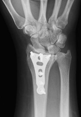
Auswärts versorgte Radiusfraktur.
Man glaubt der Befund sei eindeutig. Wenn man genau hinschaut, sieht man wo das wirkliche Problem liegt.
Lösung folgt.

Auswärts versorgte Radiusfraktur.
Man glaubt der Befund sei eindeutig. Wenn man genau hinschaut, sieht man wo das wirkliche Problem liegt.
Lösung folgt.

pehahn - 18. Sep, 12:40
